Cigarro: assunto batido, mas não resolvido.
- Dr. Felipe Silva

- 30 de jun. de 2020
- 2 min de leitura
Você sabe que o cigarro causa um enorme estrago na saúde geral de uma pessoa. A lista é grande e alguns exemplos são bronquite crônica, enfisema pulmonar, derrame, infarto e câncer.
Mas, você sabia que esse terrível mal também prejudica muito à saúde bucal? Continue lendo, fique por dentro e compartilhe à vontade.
DOENÇA PERIODONTAL
O paciente fumante apresenta um risco maior em desenvolver doença periodontal, doença infecto-inflamatória que acomete os tecidos de suporte e sustentação dos dentes, gengivas, ligamentos e ossos.
Apesar da gengivite, periodontite e demais doenças periodontais serem causadas pelas bactérias do Biofilme Dental, o tabagismo predispõe e agrava a situação já que deprime o sistema imunológico e prejudica a cicatrização da gengiva, destruindo e impedindo a neoformação de fibras colágenas.

MAU HÁLITO
O odor desagradável vindo da cavidade bucal durante a respiração ou fala é bastante agravado pelo cigarro por causa do cheiro das substancias e da diminuição do fluxo salivar e consequente ressecamento da boca.
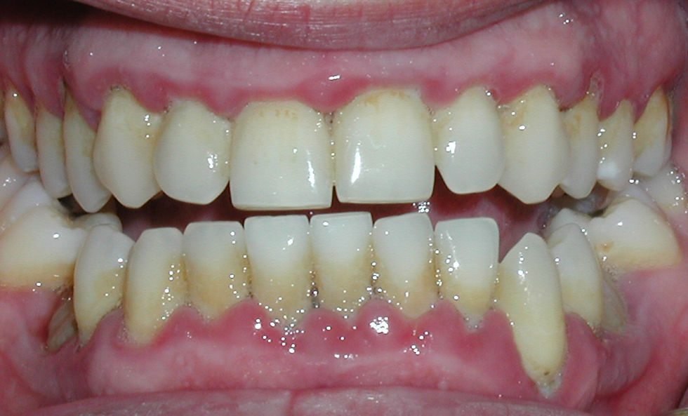
DENTES E GENGIVAS ESCURECIDOS
A nicotina, presente no cigarro é a principal responsável pela pigmentação escura acumulada na superfície dos dentes, restaurações e próteses. É ela também que estimula a produção de melanina causando manchas acastanhadas nas gengivas dos usuários.

DIMINUIÇÃO DO PALADAR
Manchas na língua e diminuição do paladar são comuns em pacientes fumantes. Você é privado das sensações maravilhosas de uma alimentação saudável.
CÂNCER BUCAL
O cigarro apresenta em sua composição substâncias carcinogênicas que aumentam a probabilidade do usuário de desenvolver câncer labial e bucal que atinge mais sete mil pessoas por ano no Brasil.
Nos lábios, o câncer acomete com maior frequência a parte inferior e se apresenta como uma ferida indolor e endurecida
Já na boca, o câncer acomete com maior frequência a língua e o assoalho bucal (região embaixo da língua) e se apresenta na forma de pequenas feridas indolores que não cicatrizam e aumentam de tamanho ou de manchas esbranquiçadas ou avermelhadas.

RECOMENDAÇÕES
Agora que você reviu todos os malefícios que o cigarro causa para a saúde geral e bucal, junte suas forças, procure ajuda especializada e elimine esse hábito. Comece e começar sua mudança para um estilo de vida saudável
- Faça visitas regulares ao dentista (em geral a cada seis meses, ou conforme orientação do dentista). O profissional irá analisar dentes, gengivas e mucosa bucal, propondo o tratamento adequado para cada situação. Existem tratamentos para a gengiva e para os dentes que podem minimizar todo o mal causado pelo cigarro;
- Dentes pigmentados pela nicotina podem ser limpos através da profilaxia e clareados através do clareamento profissional
- Mantenha uma boa higiene bucal.
☎️⎟19.3251.1677
📱⎟19.9.9208.1565 (também por WhatsApp)
📧⎟contato@artesaniaoral.com
📧⎟michele@artesaniaoral.com
📧⎟dagmar@artesaniaoral.com
💻⎟www.artesaniaoral.com


